CQ3 放射線療法
CQ3-3局所進行切除不能膵癌に対する外部放射線治療の臨床標的体積に
予防的リンパ節領域を含めるべきか?
エビデンス
局所進行切除不能膵癌に対しては化学放射線療法を行うことが推奨されている(グレードB)が,その際の放射線治療の臨床標的体積(clinical target volume:CTV)に含まれる部分がどの範囲が妥当であるかについて検討した。
まずCTVとは画像診断で明らかに腫瘍が存在すると考えられる肉眼的腫瘍体積(gross tumor volume:GTV)にその周囲への顕微鏡的進展と,顕微鏡的転移を疑うリンパ節を含んだ体積のことを指す。すなわち本設問はCTVが単にGTVに局所の顕微鏡的進展のみを加えるだけで,腫大のないリンパ節への照射を省略できるか否か,またできるとすればどの範囲か,と言い換えることができる(図6)。
伝統的には,特に欧米では予防的リンパ節領域としてTh11からL3付近までの傍大動脈リンパ節領域を含んだ照射野で治療が行われてきた。しかし放射線治療の線量増加と化学療法の強度増加の必要性から,照射体積の縮小が求められる一方で,CTを利用した三次元放射線治療計画法の開発により,例外なく広範な予防的リンパ節領域をCTVに含めることへの疑問が生じてきた。
CTVに予防的リンパ節領域を含めるかどうかに関しては,これまで前向き比較試験は行われておらず,いずれの方法を積極的に支持するだけの科学的根拠はない。実際のケースシリーズの報告ではGTV±転移頻度の高いリンパ節群をCTVとして照射を行い,治療はほとんどの症例で完遂可能で,照射野外リンパ節再発はなかった,という報告は散見される1)〜4)(レベルⅣb)。
一方,切除例の病理組織学的観察の報告では,転移頻度の高いリンパ節は膵周囲に限局していたとするものや5)(レベルⅤ),リンパ流の流れは傍大動脈リンパ節領域を体軸方向へ進展するよりも膵レベルに留まっていることが多いとするものがある6)(レベルⅤ)。
よって伝統的な広範な予防的リンパ節領域設定の必要性は,局所制御の面からも有害事象の観点からも薄いことが示唆される。NCCNのガイドライン2008年版ではカテゴリー2Aの推奨度で5─FUを使用した化学放射線療法においては,CTを使用した三次元放射線治療計画が強く勧められており,またその治療計画の下で原発腫瘍と領域リンパ節を含んだ放射線治療が勧められている。一方,CTVに予防的リンパ節領域を全く含めない照射法に関しては,その方法と転移の頻度が高いリンパ節群を含む照射法との比較について,今後前向き比較試験が待たれる。また照射技術的には三次元原体照射法(3DCRT)や強度変調放射線治療(IMRT)という技法を用いて線量の集中性を高める方法も登場し,期待がもたれている7)(レベルⅣb)。
以上より,現時点においては,局所進行切除不能膵癌の化学放射線療法時には,放射線治療の線量増加,および化学療法の併用を考慮すると,広範な予防的リンパ節領域の設定は勧められるだけの根拠がなく,CTで認められるGTVと転移の頻度が高いリンパ節群をCTVに含むことが勧められる。

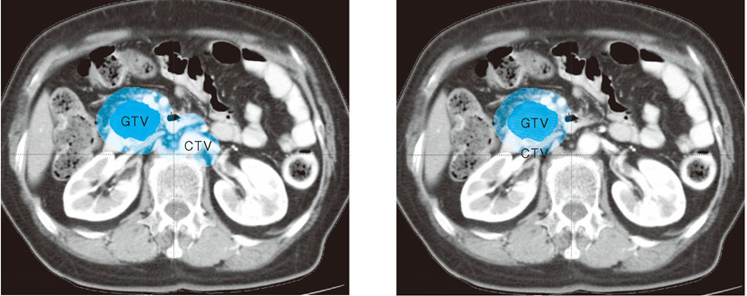
図6 臨床標的体積設定法の例
肉眼的腫瘍体積(gross tumor volume : GTV) はCT上原発巣と腫大したリンパ節と定義される(濃青色)。
また臨床標的体積(clinical target volume : CTV(薄青色))はGTVに顕微鏡的に腫瘍が進展していると考えられる範囲を付加した体積と定義される。
CTVに腫大のない(所属)リンパ節領域を予防的に含んだ場合(左)と含まない場合(右)の例を示す。
CTVの大きさが大きく異なることがわかる。
なお放射線治療計画的にはCTVの周囲にさらに呼吸性移動と治療時の位置の再現誤差を加味して計画標的体積(planning target volume : PTV)を作り、その上に適切なマージンを追加して照射野を作成する。
明日への提言
各種の臓器癌の取扱い規約において,各所属リンパ節群への転移の頻度を根拠にして郭清用リンパ節の群別の分類がなされている。そして外科においては郭清範囲の妥当性を判定する目的でD2郭清とD3郭清との比較試験などが行われている臓器もある。同様に放射線治療でもCTを利用した三次元放射線治療計画の登場により,正確なリンパ節群の局在の把握が可能になってきたとともに,さらに高精度放射線治療技術の登場により,線量集中性の高い放射線治療が可能となってきたために,現在ではリンパ節転移の頻度を根拠にしてCTVを設定することが可能になりつつある。これまでは膵癌の外部放射線治療においてこのような規準がほとんどなかったことから,将来的には膵癌の外部放射線治療のCTVの設定時に手術と同様な比較試験を行って,規準を作っていく価値があると考える。
引用文献
- 1)
- Kawakami H, Uno T, Isobe K, Ueno N, Aruga T, Sudo K, Yamaguchi T, Saisho H, Kawata T, Ito H. Toxicities and effects of involved─field irradiation with concurrent cisplatin for unresectable carcinoma of the pancreas. Int J Radiat Oncol Biol Phys 2005;62:1357─1362.
- 2)
- Wilkowski R, Thoma M, Schauer R, Wagner A, Heinemann V. Effect of chemoradiotherapy with gemcitabine and cisplatin on locoregional control in patients with primary inoperable pancreatic cancer. World J Surg 2004;28:1011─1018.
- 3)
- Tokuuye K, Sumi M, Kagami Y, Murayama S, Ikeda H, Ikeda M, Okusaka T, Ueno H, Okada S. Small─field radiotherapy in combination with concomitant chemotherapy for locally advanced pancreatic carcinoma. Radiother Oncol 2003;67:327─330.
- 4)
- Talamonti MS, Small W Jr, Mulcahy MF, Wayne JD, Attaluri V, Colletti LM, Zalupski MM, Hoffman JP, Freedman GM, Kinsella TJ, Philip PA, McGinn CJ. A multi─institutional phase II trial of preoperative full─dose gemcitabine and concurrent radiation for patients with potentially resectable pancreatic carcinoma. Ann Surg Oncol 2006;13:150─158.
- 5)
- Brunner TB, Merkel S, Grabenbauer GG, Meyer T, Baum U, Papadopoulos T, Sauer R, Hohenberger W. Definition of elective lymphatic target volume in ductal carcinoma of the pancreatic head based on histopathologic analysis. Int J Radiat Oncol Biol Phys 2005;62:1021─1029.
- 6)
- Nagakawa T, Kobayashi H, Ueno K, Ohta T, Kayahara M, Miyazaki I. Clinical study of lymphatic flow to the paraaortic lymph nodes in carcinoma of the head of the pancreas. Cancer 1994;73:1155─1162.
- 7)
- Ben─Josef E, Shields AF, Vaishampayan U, Vaitkevicius V, El─Rayes BF, McDermott P, Burmeister J, Bossenberger T, Philip PA. Intensity─modulated radiotherapy (IMRT) and concurrent capecitabine for pancreatic cancer. Int J Radiat Oncol Biol Phys 2004;59:454─459.
検索式
- (1)
- 医中誌
- ①
- 検索年限 出版年1990〜2007
- ②
- 検索日 2007/5/22
- ③
- 検索式
- #1
- (膵臓腫瘍/TH or 膵臓腫瘍/AL) or (膵臓腫瘍/TH or 膵臓癌/AL) or (膵囊胞/TH or 膵囊胞/AL) or (膵管癌/TH or 膵管癌/AL) and (PT=会議録除く)
- #2
- 非切除/AL or 切除不能/AL or 手術不能/AL and (PT=会議録除く)
- #3
- (放射線療法/TH or 放射線療法/AL) and (PT=会議録除く)
- #4
- (リンパ節/TH or リンパ節/AL) and (PT=会議録除く)
- #5
- #1 and #2 and #3 and #4
- ④
- 検索件数3件
- (2)
- PubMed
- ①
- 検索年限 出版年1990〜2007/4/30
- ②
- 検索日 2007/5/22
- ③
- 検索式
- #1
- pancreatic neoplasms
- #2
- “non operative” or nonoperative or “in operative” or inoperative or unresectable
- #3
- radiotherapy
- #4
- lymph nodes
- #5
- #1 and #2 and #3 and #4 and Limits:Entrez Date from 1990 to 2007/04/30, English, Japanese, Humans
- ④
- 検索件数19件
